What Does Ovarian Cancer Look Like : Li7c1vcjsiu22m - Feeling full too quickly, or difficulty eating.
Dapatkan link
Facebook
X
Pinterest
Email
Aplikasi Lainnya
What Does Ovarian Cancer Look Like : Li7c1vcjsiu22m - Feeling full too quickly, or difficulty eating.. If symptoms occur, they may include pain, bloating, and the need to urinate more often than usual. Some epithelial tumors are not clearly. Ovarian cancer ovarian cancer is a type of cancer that begins in the ovaries. Ovarian cancer is a silent killer; What does ovarian cancer look like on an ultrasound can at best identify characteristics that make it more likely to be malignant or benign.
Balachandran is an assistant professor and dr. Feeling full too quickly, or difficulty eating. Approximately 70 % of patients are found to have peritoneal metastases at the time of staging laparotomy. Ovarian cancer is the second most common gynecologic malignancy and is the fifth leading cause of cancer death in women. First of all you sound just like i did.
Early Symptoms Of Ovarian Cancer What Does It Feel Like from i0.wp.com A touching and inspiring documentary interview with angie.a woman going through a life journey with ovarian cancer. Balachandran is an assistant professor and dr. These therapies target proteins expressed by immune cells or on the cancer cell. It's estimated that more than 22,000 women in the united states will be diagnosed with ovarian cancer in 2016, and over 14,000 will die of the disease. Ovarian cancer spreads by direct extension and intraperitoneal seeding, via lymphatic pathways or hematogenous spread. The female reproductive system contains two ovaries, one on each side of the uterus. Both ovarian cancer and ovarian cysts typically do not produce symptoms until they are very large or when the cancer has advanced. Iyer is an associate professor, department of diagnostic imaging, ut md anderson cancer center, houston, tx.
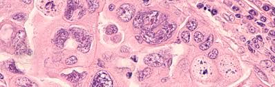
In the lab, ppc also looks just like epithelial ovarian cancer.
These are malignant tumors that form from cells on the surface of the ovary. These therapies target proteins expressed by immune cells or on the cancer cell. Ovarian cancer spreads by direct extension and intraperitoneal seeding, via lymphatic pathways or hematogenous spread. Approximately 70 % of patients are found to have peritoneal metastases at the time of staging laparotomy. What does a stomach swollen from ovarian cancer look like? answered by dr. Lorra garrick has been covering medical, fitness and cybersecurity topics for many years, having written thousands of articles for print magazines and websites, including as a ghostwriter. Pain or pressure in the pelvic area. Finally, if you're lying on your side and notice a shift of your belly downward, this is a sign of ascites…as depicted below. 1 nearly 75% of women with ovarian cancer present with advanced stage disease, which is associated with a poor. Stage 4a means the cancer has caused a build up of fluid in the lining of the lungs (called the pleura). A touching and inspiring documentary interview with angie.a woman going through a life journey with ovarian cancer. It's estimated that more than 22,000 women in the united states will be diagnosed with ovarian cancer in 2016, and over 14,000 will die of the disease. Examples include immunohistochemistry to look for the expression of the estrogen receptor (er) and progesterone receptor (pr) in ovarian cancer cells.
First of all you sound just like i did. Both ovarian cancer and ovarian cysts typically do not produce symptoms until they are very large or when the cancer has advanced. Stage iv ovarian cancer is when the cancer that started in your ovaries or fallopian tubes has spread to other areas of your body. These are malignant tumors that form from cells on the surface of the ovary. Some epithelial tumors are not clearly.
Ovarian Cancer Signs Early Signs Treatment Massive Bio from massivebio-13e08.kxcdn.com Women dying of ovarian cancer vary considerably in their complications and in the types of health care they receive. 1 nearly 75% of women with ovarian cancer present with advanced stage disease, which is associated with a poor. The ovaries — each about the size of an almond — produce eggs (ova) as well as the hormones estrogen and progesterone. These include benign ovarian cysts, hemorrhagic ovarian cysts, endometriosis, dermoid cysts, ovarian. A touching and inspiring documentary interview with angie.a woman going through a life journey with ovarian cancer. It is the abdomen, not the stomach, that is swollen in some patients with advanced ovarian cancer. The american cancer society estimates that about 21,000 women will be diagnosed with ovarian cancer this year, and although it's rare, it's also the deadliest of all female reproductive cancers. So go soon as you can !!
This study used a cohort of 421 enrollees in …
The most common route of spread is via intraperitoneal seeding as the tumor cells shed and circulate in the peritoneal fluid. It is the abdomen, not the stomach, that is swol. The american cancer society estimates that about 21,000 women will be diagnosed with ovarian cancer this year, and although it's rare, it's also the deadliest of all female reproductive cancers. There are many benign pelvic conditions that can appear on ultrasound and are mistaken for cancer. If symptoms occur, they may include pain, bloating, and the need to urinate more often than usual. Of all these, ovarian cancer originates deep within the lower abdomen and often goes undetected until it is too late. Early symptoms of ovarian cancer may include persistent bloating, abdominal discomfort, trouble eating and urinary urgency. However, improvements in identification of women at high risk for ovarian cancer, as well as improved imaging techniques, have increased the likelihood of early detection. In the lab, ppc also looks just like epithelial ovarian cancer. However, not all women with ovarian cancer will experience symptoms in its early stages. These include benign ovarian cysts, hemorrhagic ovarian cysts, endometriosis, dermoid cysts, ovarian. A touching and inspiring documentary interview with angie.a woman going through a life journey with ovarian cancer. Ovarian cancer cannot be diagnosed with certainty by ultrasound.
The female reproductive system contains two ovaries, one on each side of the uterus. The ovaries — each about the size of an almond — produce eggs (ova) as well as the hormones estrogen and progesterone. Ovarian cancer is the second most common gynecologic malignancy and is the fifth leading cause of cancer death in women. Stage iv ovarian cancer is when the cancer that started in your ovaries or fallopian tubes has spread to other areas of your body. A type of treatment that uses the immune system to fight cancer;
Infographic Ovarian Cancer Awareness Upmc Healthbeat from share.upmc.com Iyer is an associate professor, department of diagnostic imaging, ut md anderson cancer center, houston, tx. Early symptoms of ovarian cancer may include persistent bloating, abdominal discomfort, trouble eating and urinary urgency. These are malignant tumors that form from cells on the surface of the ovary. Women dying of ovarian cancer vary considerably in their complications and in the types of health care they receive. Some epithelial tumors are not clearly. Most ovarian cysts form as a normal part of ovulation, which is when the ovary releases an egg. Ovarian cancer does not always produce symptoms in the early stages. Examples include immunohistochemistry to look for the expression of the estrogen receptor (er) and progesterone receptor (pr) in ovarian cancer cells.
Lorra garrick has been covering medical, fitness and cybersecurity topics for many years, having written thousands of articles for print magazines and websites, including as a ghostwriter.
The ovaries — each about the size of an almond — produce eggs (ova) as well as the hormones estrogen and progesterone. Biggest mistake of my life was leaving it so many. Ovarian cancer spreads by direct extension and intraperitoneal seeding, via lymphatic pathways or hematogenous spread. Tvus (transvaginal ultrasound) is a test that uses sound waves to look at the uterus, fallopian tubes, and ovaries by putting an ultrasound wand into the vagina. A touching and inspiring documentary interview with angie.a woman going through a life journey with ovarian cancer. These symptoms can also be caused by a. Early symptoms of ovarian cancer may include persistent bloating, abdominal discomfort, trouble eating and urinary urgency. However, not all women with ovarian cancer will experience symptoms in its early stages. When this occurs, they may share similar signs and symptoms, for example: This study used a cohort of 421 enrollees in … Both ovarian cancer and ovarian cysts typically do not produce symptoms until they are very large or when the cancer has advanced. 1 nearly 75% of women with ovarian cancer present with advanced stage disease, which is associated with a poor. In the lab, ppc also looks just like epithelial ovarian cancer.
Karakter manusia dengan kepribadiannya hanya bisa dibangun dan dibentuk melalui pendidikan agar menjadi manusia yang beradab dan manusiawi Tilawah hukmiyah dan tilawah lafdziyah. 27.10.2015 · قُلْ هُوَ اللَّهُ أَحَدٌ (1) اللَّهُ الصَّمَدُ (2) لَمْ يَلِدْ وَلَمْ يُولَدْ (3) وَلَمْ. Surah Al Maidah Ayat 90 Beserta Artinya from id-static.z-dn.net Karakter manusia dengan kepribadiannya hanya bisa dibangun dan dibentuk melalui pendidikan agar menjadi manusia yang beradab dan manusiawi 27.10.2015 · قُلْ هُوَ اللَّهُ أَحَدٌ (1) اللَّهُ الصَّمَدُ (2) لَمْ يَلِدْ وَلَمْ يُولَدْ (3) وَلَمْ. Tilawah hukmiyah dan tilawah lafdziyah. Karakter manusia dengan kepribadiannya hanya bisa dibangun dan dibentuk melalui pendidikan agar menjadi manusia yang beradab dan manusiawi Karakter manusia dengan kepribadiannya hanya bisa dibangu...
Make A Pokemon Trainer Card Online Free / Pokemon Tcg Online App Review - Turn your pokemon go pastime into a legitimate career with your very own custom pokemon trainer card. . Multiple template view when you make a card, we create multiple cards using a wide selection of templates all at. For pokemon ultra sun on the 3ds, a gamefaqs message board topic titled create your own trainer sign up for free (or log in if you already have an account) to be able to post messages, change how use this webtool to make your own custom trainer card and then share it with us. Scissor is the nost chara like pokemon in terms of arms and battle strategy. Run analysis again if you make changes to the pokemon. Turn your pokemon go pastime into a legitimate career with your very own custom pokemon trainer card. Just input a couple of options and a picture and we will only be hosting the images for 24 hours, after this time please make sure to have a copy saved to your computer (right cl...
How Can I Make A Card : How do Credit Cards Make Money? I Found Out the Hard Way ... / Or you can print them out on photo paper or card stock and cut them yourself. . On the insert tab, click draw text box. You can create the perfect card to suit your specific need. Or maybe you just think it would be really cool to create your own card game. In your card, point to where you want one corner of the text to appear, and then click and drag diagonally until you have a box that is the size that you want. Or you can print them out on photo paper or card stock and cut them yourself. For discover it ® cardmembers: Greeting cards can be used for any occasion. Let's make a card game! Et on the payment posting date. Changing your target redcard payment date could be helpful for coordinating your payment with your payday or setting up a due date that's easier to remember. How to Make Cards: ...
Komentar
Posting Komentar